Mouth Cancer Symptoms Pictures Nhs : Identifying Oral Cancer Gponline : Usually dentists diagnose the presence of mouth cancer in people instead of doctors.
Dapatkan link
Facebook
X
Pinterest
Email
Aplikasi Lainnya
Mouth Cancer Symptoms Pictures Nhs : Identifying Oral Cancer Gponline : Usually dentists diagnose the presence of mouth cancer in people instead of doctors.. Cancer cells can grow in the tissue behind your nose (the nasal cavity) and the hollow areas in the bones near it, called the paranasal sinuses. Symptoms of mouth cancer include the following weight loss is a common symptom of many different types of cancer. In 2015, the national institute for health and care excellence (nice) published guidelines to help gps recognise the signs and symptoms of mouth cancer and refer. Red or white patch, ulcer or lump can be an early sign if it lasts for three or more weeks. That means treatment will be faster and less disruptive.
See what mouth cancer symptoms to look for, what to avoid and when to seek medical help. Discover 10 common mouth cancer symptoms at 10faq health and stay better informed to make healthy living decisions. Difficulty swallowing and an accompanying burning sensation may also develop. These cancers are linked by type and location, and many of the symptoms are the same. A mouth examination can identify some symptoms of mouth cancer.
Mouth Cancer Atkinson Brignall Sevenoaks Kent from www.atkinsonbrignall.co.uk Mouth cancer or oral cancer is one of the more common forms of cancer in the united states; Cancer cells can grow in the tissue behind your nose (the nasal cavity) and the hollow areas in the bones near it, called the paranasal sinuses. Radiation is another option for destroying cancer. Fever or night sweats for no known reason. If possible, surgery may be recommended to remove the cancerous lesion. Oral cancer can appear anywhere in the mouth, including the inside of the cheeks and the gums. Symptoms of mouth and oropharyngeal cancer include a mouth ulcer that doesn't heal or a swelling or lump in the neck. If you have any of these symptoms which do not.
Mouth cancer, also known as oral cancer, is where a tumour develops on the surface of the tongue, mouth, lips or gums.
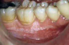
This growth further affects neighboring tissues. The national clinical director for. It's important to notice mouth cancer symptoms as soon as they appear. These cancers are linked by type and location, and many of the symptoms are the same. In 2015, the national institute for health and care excellence (nice) published guidelines to help gps recognise the signs and symptoms of mouth cancer and refer. Only a doctor can tell if symptoms are caused by cancer or some other problem. Make an appointment with your doctor or dentist if you have any persistent signs and symptoms that bother you and last more than two weeks. Red or white patches in the mouth or throat. Red or white patch, ulcer or lump can be an early sign if it lasts for three or more weeks. Discover 10 common mouth cancer symptoms at 10faq health and stay better informed to make healthy living decisions. As you review these images and their descriptions, you will be. This is a picture of a red sore that has not healed even after the passage of two weeks and can be considered cancerous. What are the symptoms of mouth cancer?
We've put some small files called cookies on your device to make our site work. Symptoms include constant congestion, sinus infections that don't get better with treatment, headaches, swollen eyes, and problems with your sense of smell. Men are twice as likely to develop mouth cancer compared to women, probably because they're more likely to consume tobacco and alcohol in greater doses and over longer periods of time. Make an appointment with your doctor or dentist if you have any persistent signs and symptoms that bother you and last more than two weeks. This medicine can reduce pain and speed up the healing process.
Mouth Cancer Cpd For General Practitioners from gpcpd.heiw.wales This medicine can reduce pain and speed up the healing process. What are the symptoms of mouth cancer? This growth further affects neighboring tissues. We've put some small files called cookies on your device to make our site work. Discover 10 common mouth cancer symptoms at 10faq health and stay better informed to make healthy living decisions. We'd also like to use analytics cookies. The signs and symptoms of mouth cancer can often be seen or felt, and any. A sore that doesn't heal a sore that bleeds a growth, lump or thickening of the skin or lining of.
A mouth examination can identify some symptoms of mouth cancer.
In 2015, the national institute for health and care excellence (nice) published guidelines to help gps recognise the signs and symptoms of mouth cancer and refer. Men are twice as likely to develop mouth cancer compared to women, probably because they're more likely to consume tobacco and alcohol in greater doses and over longer periods of time. We'd also like to use analytics cookies. The most common symptoms are having a sore or ulcer for more than three weeks. Fever or night sweats for no known reason. Cancer develops when the structure of deoxyribonucleic acid (dna) changes (genetic mutation). A mouth examination can identify some symptoms of mouth cancer. That means treatment will be faster and less disruptive. With an estimated 53,000 diagnosed cases this year. Cancer can cause different symptoms, such as abnormal bumps, night sweats, or unexplained weight gain or loss. This medicine can reduce pain and speed up the healing process. Mouth or oral cancer is rare but a possible cause of bump on the palate of the mouth. Radiation is another option for destroying cancer.
We'd also like to use analytics cookies. The most common symptoms are having a sore or ulcer for more than three weeks. We've put some small files called cookies on your device to make our site work. Radiation is another option for destroying cancer. An abnormal looking patch could be a sign of cancer or precancerous changes
Tongue Cancer Symptoms Pictures And Outlook from cdn-prod.medicalnewstoday.com We'd also like to use analytics cookies. Cancer, nhs england and the platform for. While most mouth cancer symptoms are caused by less serious health and dental problems it is still very important that you visit a doctor or dentist to catch any potential problem early. Very often mouth cancer does not produce symptoms in the early stage. Symptoms of mouth and oropharyngeal cancer include a mouth ulcer that doesn't heal or a swelling or lump in the neck. The sooner any possible tumor is detected, the better the outlook. Mouth cancer refers to cancer that develops in any of the parts that make up the mouth (oral cavity). Better oral health in europe also support.
Mouth cancer can make it painful to eat and difficult to swallow, which can cause weight loss.
Only a doctor can tell if symptoms are caused by cancer or some other problem. Red or white patches in the mouth or throat. Radiation is another option for destroying cancer. It can appear as a red (erythroplakia) or white patch (leukoplakia) , persistent ulcers which refused to heal or as unusual lumps and swellings. We'd also like to use analytics cookies. Red or white patch, ulcer or lump can be an early sign if it lasts for three or more weeks. What are the symptoms of mouth cancer? Cancer can cause different symptoms, such as abnormal bumps, night sweats, or unexplained weight gain or loss. We'd also like to use analytics cookies. Mouth cancer is a general term for any one of the oral cancers that effect the lips, tongue, inside the mouth, throat, or the cheeks. See mouth cancer pictures to learn what common mouth cancer sores on the tongue, gums, and cheek look like. Make an appointment with your doctor or dentist if you have any persistent signs and symptoms that bother you and last more than two weeks. Smoking and tobacco use increase the risk.
Simply enter your business name and make a logo you'll love. Australia's top 10 richest people aged under 40. Browse stunning logos tailored for you. Solana and binance coin shed 6 per cent, whereas dogecoin and xrp tanked 5 per cent each. As an investor, you're always looking for opportunities. Aclk Sa L Ai Dchcsewjn5mpg1cr0ahwjqrgkhb1idemyababggjszq Sig Aod64 2b8qy8w6gn9xs3pqcmrsadnc48sg Adurl Ctype 5 from The names and symbols of the listed cryptocurrencies are actually links. Simply enter your business name and make a logo you'll love. That's why td ameritrade holding corporation has invested in erisx—an innovative company that offers traders access to cryptocurrency spot contracts, as well as futures contracts, on a single exchange. The cryptocurrency cart continued to bleed on wednesday amidst volatility in the ma...
Where Do Cancers Come From : Signs You Have These 5 Cancers | Newsmax.com - The body is made up from millions of tiny cells. . Cancers are classified in two ways: Those born under this horoscope sign are 'roots' kinds of people, and take great pleasure in the comforts of home and family. Melanoma begins in the melanocytes, which are the cells that make melanin, the pigment that gives skin its color. A cancer may also cause symptoms like fever, extreme tiredness ( fatigue ), or weight loss. Cancer can also cause the immune system to react in ways that produce these signs and symptoms. Hpv can cause cancers of the: They don't form solid tumours. Cancers are maternal, domestic, and love to nurture others. Most cells have a centre called a nucleus. The study of cancer is termed oncology. Signs You Have These 5 Cancers | Newsmax.com from www.newsmax.com ...
How To Make A Pokemon Card - Pokemon Aaah Make Your Own Pokemon Card : But i don't want people to say.just print it from internet(front page), cut it out and stick it with a common i have about 150 older pokemon card from when they were popular, i want to sell them on ebay, they are in pretty good condition some really good old cards. . You can make a pokemon fit set stats, but you can't make stats arbitrarily fit a pokemon. However, the only shortcoming of this site is that after generating a pokemon card, a watermark occurs that can not be eliminated. Many pokemon card game players are fond of this site mainly because it gives them the ability to make cards of their choice. You demanded it, let's learn this together and make something amazing! How to make your own pokemon cards at home! Coming up with the idea for the card, commissioning art, and testing the in the trading card game, you have your basic pokemon. How to determine pokémon card values. T...
Komentar
Posting Komentar